• <menu id="888u4"><menu id="888u4"></menu></menu>
  • Новая эпоха в лучевой терапии: ученые достигли беспрецедентных результатов в уничтожении раковых клеток

    Материал из Бюллетеня МАГАТЭ

    Когда в 1901 году для лечения рака впервые применили излучение, это ознаменовало собой настоящую революцию в медицине.

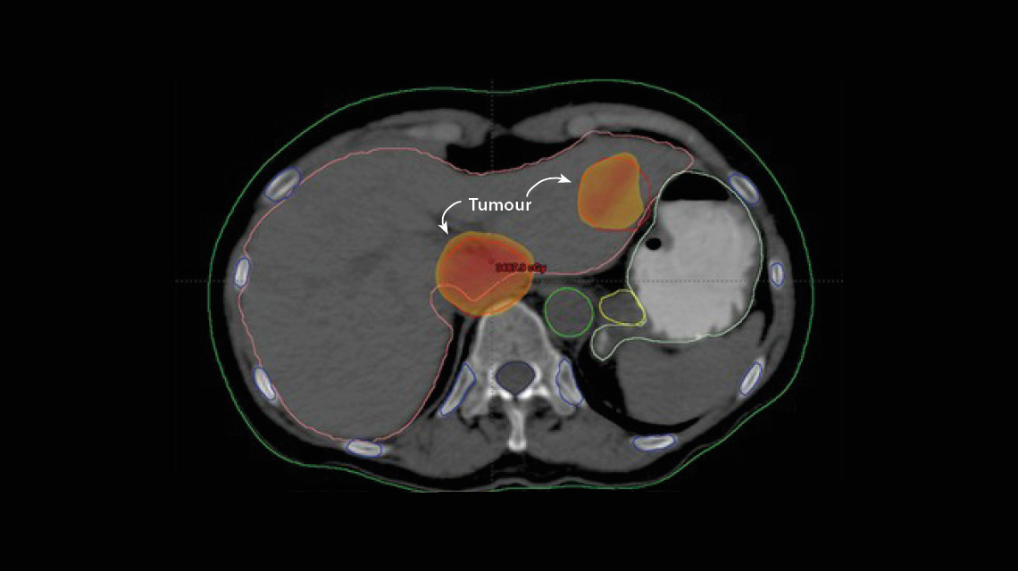
    Лечение рака печени с использованием современного метода лучевой терапии — стереотаксической радиотерапии всего тела.(Фото: Национальный институт рака, Египет)

    Когда в 1901 году для лечения рака впервые применили излучение, это ознаменовало собой настоящую революцию в медицине. Однако этот метод получил свое развитие лишь с появлением определенных инновационных технологий. Сегодня благодаря прогрессу в области физики, технологий и вычислительной техники методы лучевой терапии становятся существенно более точными, эффективными и безопасными, а МАГАТЭ способствует тому, чтобы пациенты во всем мире имели доступ к передовым достижениям радиотерапии.

    ?Эти достижения могут позволить повысить качество жизни пациента в период лечения. А в случае со многими формами рака — сделать лечение более точечным, снизить вероятность рецидивов и повысить показатели выживаемости, — говорит Мэй Абдель-Вахаб, директор Отдела здоровья человека МАГАТЭ. — Кроме того, некоторые новые технологии, среди которых стереотаксическая радиотерапия всего тела (СРВТ), могут дополнить современные методы иммунотерапии путем повышения иммуногенности раковой опухоли?.

    Ежегодно во всем мире диагностируют более 14 миллионов новых случаев раковых заболеваний. Около половины онкологических больных на том или ином этапе лечения проходят курс лучевой терапии (см. вставку ?Наука?), которая часто используется в сочетании в другими методами, такими как хирургическое вмешательство и химиотерапия.

    Многие развивающиеся страны сталкиваются с трудностями в освоении новых методов и технологий. МАГАТЭ содействует странам по всему миру в организации и осуществлении программ подготовки кадров в области лучевой терапии и безопасном освоении передовых технологий. ?МАГАТЭ активно помогает странам оказывать качественные услуги лучевой терапии, чтобы все пациенты получили доступ к этим инструментам и методам, позволяющим спасать жизни людей, и могли пользоваться ими?, — отмечает Абдель-Вахаб.

    Цель лучевой терапии

    Целью лучевой терапии является максимально эффективное и безопасное лечение опухоли с использованием излучения при сведении к минимуму поражения прилегающих здоровых тканей и критических органов. Для этого специалистам необходимо прежде всего тщательно обследовать опухоль и составить план лечения с использованием диагностической визуализации и инструментов планирования. Затем с помощью аппарата лучевой терапии они производят безопасное воздействие на опухоль тщательно рассчитанной дозой излучения.

    С помощью увеличения дозы излучения можно убить больше раковых клеток, но при этом возрастает риск поражения прилегающих здоровых тканей. ?Поэтому обеспечение точечного воздействия на опухоль и тщательного соблюдения дозы излучения крайне важно для безопасности и эффективности лучевой терапии, — говорит Абдель-Вахаб. — Многие нынешние достижения в области лучевой терапии основываются на корректировке и совершенствовании этих двух составляющих?.

    Планы лечения рака становятся более точными

    Благодаря достижениям в области визуализации и планирования лечения радиационные онкологи, в частности, смогли перейти от двухмерных технологий в лучевой терапии к трехмерным с использованием необходимой визуализации и последующего контурирования опухоли (процесс получения снимков и обследования опухоли с целью определения границы между зараженной и здоровой тканью). Кроме того, развитие автоматизированных инструментов планирования позволяет специалистам в области радиационной онкологии задействовать вычислительные мощности для выявления опухоли и составления точного плана, предусматривающего, какую дозу излучения необходимо использовать, на какую часть опухоли следует воздействовать и под какими углами.

    Однако степень точности лечения зависит от качества диагностических снимков и характеристик аппарата лучевой терапии. Существовавшие ранее методы диагностической визуализации позволяли получить менее детальное изображение, а возможности технологий лучевой терапии были более ограниченными. Так, специалистам приходилось использовать меньшие дозы радиации и проводить больше сеансов, чтобы не навредить пациентам, а иногда, в зависимости от состояния пациента, полностью исключать из плана лечения лучевую терапию.

    Ситуация изменилась с появлением таких инструментов и методов, как трехмерная брахитерапия и лучевая терапия с визуальным контролем, которые основываются на детальной визуализации и в процессе лечения позволяют контролировать и корректировать излучение в динамике. Благодаря СРВТ появилась возможность высокоточного лечения, при котором облучение производится из нескольких точек, что позволяет применять более высокие дозы излучения и сократить длительность лечения.

    Опухоль: окружить и уничтожить

    Благодаря СРВТ удалось достичь нового уровня контроля и точности при лечении. Эта технология уникальна, поскольку предусматривает создание четырехмерных моделей, отражающих высоту, ширину, глубину и в некоторых случаях динамику, что позволяет с высокой точностью планировать лазерную терапию и воздействовать на опухоль пучками излучения под разными углами. Каждый пучок содержит меньшую дозу излучения: это более безопасно и позволяет снизить риск побочных эффектов для здоровой ткани, через которую проходит излучение. Когда все пучки излучения сходятся на опухоли в одной точке, раковые клетки подвергаются большей суммарной дозе облучения. В целом это означает, что для эффективного лечения пациенту требуется меньше сеансов лучевой терапии.

    ?В некоторых случаях, когда рак неоперабельный или не поддается эффективному лечению с использованием лучевой терапии, СРВТ дарит пациенту новый шанс на выживание?, — говорит Тарек Шуман, заведующий отделением радиационной онкологии Национального института рака (НИР) Египта, который сотрудничает с МАГАТЭ на протяжении уже более 20 лет.

    Сегодня, отчасти благодаря помощи со стороны МАГАТЭ, Шуман и другие сотрудники НИР применяют СРВТ для лечения рака легких на ранних стадиях, рецидивов рака головы и шеи, а также гепатоцеллюлярной карциномы (ГЦК) — самого распространенного вида рака печени среди мужского населения Египта.

    Шуман пояснил, что методы лучевой терапии для лечения рака печени, в частности ГЦК, были коренным образом усовершенствованы благодаря применению СРВТ. Сегодня рак печени занимает третье место в мире по числу летальных исходов среди всех видов рака. На протяжении многих лет эффективное лечение этого вида рака с применением методов лучевой терапии было невозможным: традиционная лучевая терапия не позволяет безопасно использовать дозы излучения, достаточно высокие для лечения опухоли печени, из-за риска поражения прилегающих здоровых тканей печени. СРВТ может использоваться для лечения даже самых небольших опухолей печени с применением увеличенных доз излучения без вреда для здоровой ткани.

    Согласно исследованиям, благодаря использованию СРВТ число сеансов, необходимых для лечения ГЦК, а также других видов рака, таких как рак мозга, легких и головы и шеи, снизилось с 30–35 до 1–5. Как показывает двухлетний опыт использования метода СРВТ, при лечении определенных видов рака терапия приводит к положительным результатам в 80–90 % случаев. Этот метод схож с хирургическим удалением опухоли, но влечет за собой меньшие риски.

    ?Эта сфера стремительно развивается: СРВТ — лишь один из новых методов лучевой терапии. Мы намерены тесно взаимодействовать с МАГАТЭ, чтобы оставаться в авангарде, и при этом расширять содействие другим странам и сотрудничество с ними?, — подчеркивает Шуман.

    午夜爱爱爱爱爽爽爽视频网站