• <menu id="888u4"><menu id="888u4"></menu></menu>
  • Irradiated Vaccines and the Control of Animal Diseases

    News Article

    Animals in general possess a basic defence against pathogens known as innate immunity. This comprises two parts, humoral, referring to substances found in the body fluids such as tears, mucus, and blood that can prevent the development of pathogens so that they can be eliminated from the body and the second, cellular, where cells called phagocytes ingest pathogens.

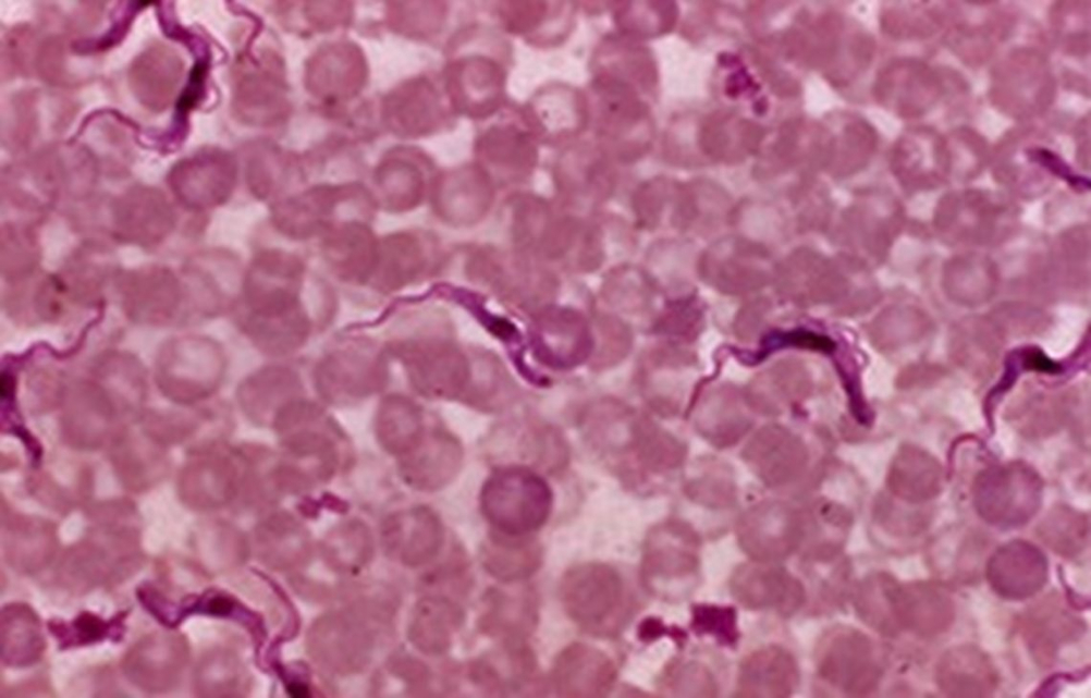
    <p>Figure 1. Irradiated Trypanosoma brucei parasites (above) have been used successfully to induce immunity in cattle. It is possible that similar success could be achieved with mechanically transmitted trypanosome species such as T. evansi and T. vivax</p>

    This form of immunity is non discriminatory; it is not directed against specific pathogens, but just about anything that enters the body that is foreign.

    Vertebrates have another more sophisticated defence mechanism, known as adaptive immunity, which enables an animal to recognize and destroy invading organisms. These mechanisms represent the specific immune response. Substances that initiate an immune response are called antigens, or immunogens. The cell walls, protein surface coats, polysaccharides and cellular matrices of invading micro-organisms contain numerous antigens in their make-up that can induce an immune response. If the response is directed against antigens that are essential for the development and integrity of the invading pathogen, then it is possible the invader will be destroyed and eliminated. Sometimes, the responses are less effective, because the immune response does not target the “right” antigen, so that the organisms can multiply and perhaps kill the host.

    The first contact the immune system has with an infectious agent generates a primary immune response that results in the development of memory cells. These will respond to a second exposure to the same antigen by inducing a secondary immune response that is stronger and more effective than the primary one. Active immunity is developed following exposure to a pathogen, but can also be induced artificially by vaccination which requires the pathogen to be in a form that provokes an immune response without causing the disease. The primary vaccination might be followed by booster doses to maintain a level of immunity that will continue to protect the individual against infection.

    Vaccination can be a very cost-effective way of controlling disease. In the case of viral diseases, it might be the only way to control them successfully in the absence of alternative therapies. Bacterial and parasitic diseases can be controlled by antibiotics and chemotherapeutics, but these have their limitations as reinfection might still occur, so it may be necessary to continually treat animals. Additionally, the increased incidence of antibiotic and drug resistance, as well as the presence of their residues in human food emphasise the importance of seeking alternative methods of control. These facts provide a strong argument to develop vaccines wherever possible, especially for parasitic diseases, where long-term drug treatment, with all its potential problems, might be the only way to prevent disease. Although anti-viral and anti-bacterial vaccine development has been quite successful, the list of vaccines for parasitic diseases, in animals, is small.

    Ideally, a vaccine should be stable and easy to administer in the field. It should induce an effective immune response that will protect the animal and have a prolonged effect even after a single inoculation. Conventional vaccines fall into one of three types, (i) live, attenuated vaccines, (ii) killed, inactivated vaccines and (iii) toxoids. Live vaccines are prepared from organisms that have no virulence in the target animal. They are prepared from naturally occurring or induced mutated organisms, by culture passage to reduce their pathogenicity or by attenuation using irradiation. Killed vaccines are prepared from highly immunogenic strains of organisms that are treated with chemicals that do not interfere significantly with the conformation of their surface proteins, and toxoid vaccines are based on antigenically altered toxins that are secreted by the pathogen and produce the clinical symptoms associated with the disease. In this case, the vaccine does not prevent infection but protects against the effects of the toxins produced by the pathogen.

    Although the search for new vaccines has led to more novel strategies including peptide vaccines, recombinant vector vaccines, gene-deleted vaccines, marker vaccines, DNA vaccines, synthetic vaccines and edible vaccines, the most successful vaccines have been those based on conventional attenuation procedures, for example, the eradication of rinderpest is due to the use of an attenuated tissue culture vaccine developed over 50 years ago. An attraction of live vaccines is their potency; although they are attenuated they still replicate and induce the host to secrete the immunoregulatory products and cellular activation responses that would occur in natural infection. This includes the ability to generate not just antibody responses that are effective against extracellular organisms, but also includes the cellular immunity that is essential for killing intracellular organisms. Killed vaccines, in contrast, have a lower potency and might require the inclusion of adjuvants, substances that assist in potentiating the immune response by acting as a slow release deposit for antigens at the site of injection.

    irradiated_vaccines_and_the_control_of_animal_diseases_2.jpg

    Figure 2. Zebu cattle in Africa suffering from "nagana" a disease caused by several different species of pathogenic trypanosomes

    The Animal Production and Health Subprogramme has addressed the idea of using irradiated pathogens conceptually for over 20 years and our rekindled interest in this technology is not only due to the encouraging reports in the literature but also by the data generated in our own Collaborative Research Project on “Veterinary Diagnosis and the Control of Rift Valley Fever” and two Technical Cooperation Projects in the Sudan “Epidemiology and Control of Snail-Borne Diseases in Irrigated Areas” dealing with fasciolosis and another on “Characterization and Quality Assured Production of an Attenuated Theileria annulata Vaccine”. We will need to focus our attention on specific issues and our approach will be driven by the needs of our Member States in their goal to control major infectious transboundary diseases where there are no vaccines available, or where the vaccines are problematic such as Rift Valley Fever, Contagious Bovine Pleuropneumonia, animal trypanosomoses, gastrointestinal helminths – the list is long. Already we know that irradiated sporozoites protect against infection with T. annulata; in trypanosomosis, we know just how few irradiated parasites are needed to induce strong protective immune responses. This suggests that there is potential for developing a vaccine for T. evansi, a species that shows a more limited antigenic diversity than the African Tsetse-transmitted Trypanosomoses.

    There is also scope under the concept of “One Health” to develop an irradiated vaccine for S. japonicum, a parasitic worm that affects some 40 species of wild and domestic animals, causing serious morbidity and mortality, but whose major impact lies in its ability to infect humans. Development of a veterinary vaccine would reduce the incidence of disease in cattle and buffalo, leading to a decline in the rate of zoonotic infection in humans, particularly in China.

    We should not be daunted by the problems that might be perceived in the development of irradiated vaccines; until recently a radiation attenuated vaccine for malaria was considered technically impractical and unnecessary, because subunit vaccines were considered more likely to solve the problem. In the event, the latter have, so far, failed to deliver, but an irradiated sporozoite vaccine is now close to delivery as techniques were developed to produce the sporozoites in sufficient quantities, establish practical immunization protocols and meet the required regulatory standards.

    It is therefore appropriate that we look at vaccine technology and re-consider the potential for radiation attenuation as a technique that will enable us to produce vaccines that can measure up to the requirements of various regulatory bodies regarding their safety and potency. There is evidence, mainly accruing from work on Plasmodium falciparum (the parasite that causes malaria) and Schistosoma haematobium and S. mansoni (parasitic worms that infect humans) that radiation-attenuated sporozoites (the infective stages of the malaria parasite) and radiation-attenuated cercariae (the infective stages of the schistosome worm) deliver a high level of protection against parasites that, in natural infections do not confer any degree (or a slowly acquired immunity at best) of sterile immunity upon the host. This suggests that irradiation, although the mechanism is unknown, increases the immunogenicity of the parasite. Alteration in gene expression is one possible way in which this enhanced immunogenicity might be brought about in Schistosoma, by altering the way the irradiated parasites passage through skin-draining lymph nodes and lungs, allowing prolonged priming of the immune system. Studies on Listeria have also shown that irradiated bacteria retain adjuvant and antigenic integrity that confer immunogenicity, whereas inactivation by heat treatment is ineffective. The attenuated bacteria induce both the cellular and humoral immune responses essential for developing immunity. A feature of this vaccine that is relevant to the use of such material in the field where access to refrigeration is problematic was the finding that freeze-dried, reconstituted, irradiated bacteria were equally immunogenic and protected experimental animals from lethal infection with the live Listeria. Irradiated Brucella abortus RB51 were also found to induce high levels of protection and although unable to replicate were still able to stimulate the requisite cellular immune responses needed for the development of immunity. Irradiated tachyzoites of Neospora caninum also protected against lethal challenge. Experiments have also shown the possibility of using radiation attenuated FMD virus as a vaccine, but there are no data from studies in farm animals.

    As previously mentioned, there is a strong argument in favour of developing vaccines against animal parasites and the developments in radiation attenuation give fresh impetus to this aim. Conventional attenuation has produced a number of live vaccines against various animal parasites. These include Theileria parva, based on an infection and treatment with a long acting tetracycline, Babesia and T. annulata, using cell cultured vaccine strains of the parasites, or truncated life styles as used for Toxoplasma, and low doses of infective organisms as used in Eimeria.

    Only one veterinary vaccine has been produced against a metazoan parasite using radiation attenuation and that has played a significant role in reducing the incidence of parasitic bronchitis in cattle, especially in Western Europe. Developed over 50 years ago, the vaccine against the lungworm, Dictyocaulus viviparus, comprises irradiated L3 larvae that induce a strong, protective immunity in immunized cattle. A similar irradiated vaccine has been used since the 1970’s for protection against D. filaria in sheep and goats locally in India. Similar, strong and long-term immunity has been shown experimentally after vaccination with irradiated L3 larvae of the hookworm Ancylostoma caninum and the filarial worm Litomosoides.

    午夜爱爱爱爱爽爽爽视频网站