COVID-19 and chest CT: protocol and dose optimization
Webinar
Presenters: Fatemeh Homayounieh, Mannudeep K. Kalra
Date of broadcast: 9 April 2020, 4 pm CEST (check your corresponding time)
About the webinar
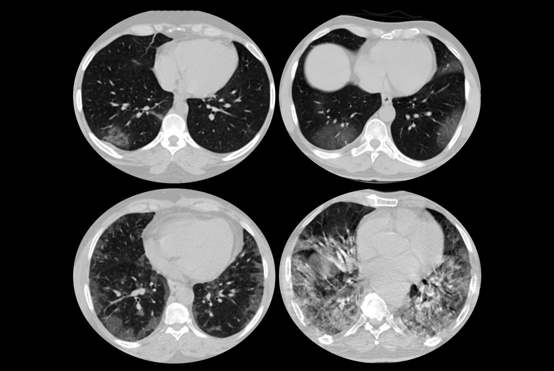
Chest computer tomography (CT) is being used extensively in patients with known and suspected COVID-19 infection, especially when there is limited availability of conventional testing with nasal or oral swab (PCR). Some patients may need to undergo multiple chest CT scans as part of their medical examination.
In this webinar, radiology experts will present best practices for chest CT including scan parameters and related radiation doses with specific emphasis on COVID-19 imaging with CT. Using generic examples, they will discuss how best to serve patients with appropriate and optimal use of radiology resources and expertise.
Learning objectives
- To learn about principles of protocol and dose optimization for chest CT
- To understand issues with chest CT in COVID-19 infection
About the presenters
Fatemeh Homayounieh, USA
Dr. Homayounieh is postdoctoral research fellow in the department of radiology at Massachusetts General Hospital, affiliated with Harvard Medical School. Dr. Homayounieh’s research is focused mostly on image quality, patient safety and deep learning techniques in medical diagnosis. She has published several papers in peer-reviewed journals and has been invited as a presenter to several scientific assemblies and annual meetings. She was awarded the 1st price as a Scientific Trainee in Association of University Radiologist (AUR) meeting, Baltimore, Maryland, in 2019.
Mannudeep K. Kalra, USA
Dr. Kalra is a professor of radiology at Harvard Medical School and an attending radiologist in Massachusetts General Hospital. Dr. Kalra’s research and education is focused on optimization of CT radiation dose and machine learning applications in radiology. He has published more than 400 original research articles, reviews, book chapters and conference publications. He has participated in projects with the International Atomic Energy Agency (IAEA), International Commission on Radiological Protection (ICRP), and the US National Council for Radiation Protection (NCRP). He has won numerous awards for his work on CT radiation optimization.